
周春妹

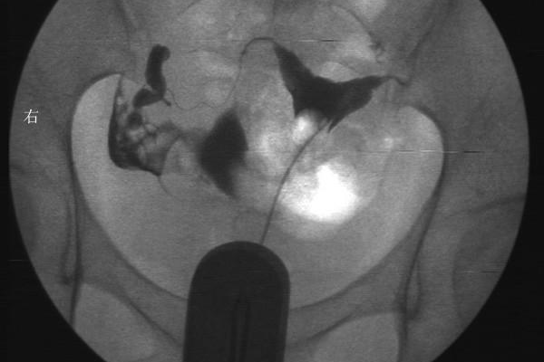
對於有不孕症、生殖器畸形等情況就可以通過輸卵管造影來進行檢查,該項檢查是將碘造影劑直接由子宮頸管注入子宮腔,再經子宮腔到輸卵管,在X線透視下了解子宮腔和輸卵管腔通暢情況。而醫生不建議做的情況也有,網傳做此項檢查會傷到子宮,對甲亢有影響的說法對很多女性朋友也造成了困擾,所以要詳細瞭解後才能知曉能不能做。

有生殖器炎症的人不能做造影
謠言一:輸卵管造影會導致月經推遲嗎?
輸卵管造影是治療女性輸卵管堵塞的一種方法。有些女性做了輸卵管造影手術以後會發生月經的推遲,造成月經推遲的原因主要有兩種。其中一種是藥物以及環境的影響。在進行輸卵管造影時會使用一定的藥物,如果女性對於藥物過敏,有可能會導致月經的推遲;另外造成月經推遲的原因,還有可能是受到一些造影技術的刺激。

輸卵管造影對子宮會有一定傷害
謠言二:做輸卵管造影是否會對懷孕有影響?
一般來說做輸卵管造影是為了更好的懷孕,所以做輸卵管造影對懷孕的影響不是很大的,輸卵管只有通暢的情況下才能夠進行積極的備孕的,否則可能會引起宮外孕的情況,還有可能會引起不孕的情況。
謠言三:進行輸卵管造影對子宮有無傷害?
輸卵管造影對子宮會有一定傷害,但傷害幾乎可以忽略不計。因為輸卵管造影是侵入性檢查,不像超聲一樣方便。需要把造影管放入患者的子宮腔內,然後再打造影劑,接著在超聲下或X線下監測造影劑的彌散情況。在操作過程中,容易誘發逆行感染,同時造影劑進入子宮腔內對子宮內膜也會有一定損傷。
做輸卵管造影是存在一定的注意事項和禁忌,此項檢查通常在優生優育的檢查中可以做,以及有不孕情況的時候可以做,不過輸卵管造影術也有些情況是不建議做的,不建議做的情況就有:
1.在經期或者懷孕期間
在經期進行輸卵管造影很容易讓子宮以及生殖器官受到刺激而發生感染,在懷孕期間如果進行很容易讓胎兒受到影響,甚至會誘發流產。
2.對碘過敏的女性
由於在進行輸卵管造影檢查的過程中需要向身體注入造影劑,而在目前大多數造影劑主要是碘水或者碘油,而對於這種成分過敏的女性要注意是不能進行的,如果強制進行會讓身體在發生過敏時危及性命。
3.存在全身性疾病
女性如果存在一些全身性疾病,如心臟病、腎功能不全以及其他疾病時,要注意是不能進行輸卵管造影,這些人群進行輸卵管造影可能會帶來一些意外。
4.生殖器炎症禁止進行
患有急性或者亞急性的生殖器炎症都不能進行輸卵管造影,因為在進行輸卵管造影時會通過生殖器進入宮腔內,如果存在生殖器炎症就很容易讓炎症加重,誘發其他感染疾病。所以想要進行輸卵管造影,先要治療好生殖器官炎症。
一般備孕期間的夫妻,在這之前就需要進行優生優育的檢查,檢查主要也是為了能夠更健康的進行備孕,而關於“能不能做輸卵管造影的問題”一些網友是發表了自己的看法。
小阿杜
逆天
黑麵兒
十月懷胎對孕婦來說真的很不容易,為了胎兒健康落地,準媽媽直至分娩之前都要注意自己的一舉一動。於是網上流傳著很多孕期“禁令”,很多準媽媽為此擔驚受怕,但是孕期的限制並非網上說的那麼誇張,關於一些所謂的“醫生不建議”的事情,大家能從下表找到答案。
| 天天泡腳 | 糖耐 | 輸卵管造影 | 保胎 | 陰超 |
| 打新冠疫苗 | 破壁機 | 基因檢測 | 兒童辦身份證 | 收腹帶 |
| 接種九價疫苗 | 核磁共振 | 喝孕婦奶粉 | 彎腰 | 胸透 |
| 打黃體酮針 | 抱別人的小孩 | 拔智齒 | 平躺著睡 | 化妝 |
| 嬰兒游泳 | 嬰兒查過敏源 | 用吸奶器 | 母乳擠出來瓶喂 | 生虎寶寶 |
| 排卵後同房 | 輸卵管造影 | 查弓形蟲 | 鎮痛泵 | 與孕婦打牌 |
| 打狂犬疫苗 | 在家裡自行吸氧 | 核酸檢測 | 催吐 | 養貓狗 |
| 胃鏡 | 四維彩超 | 上環 | 退熱貼 | 爽身粉 |
| 護墊 | 防溢乳墊 | 學步車 | 痱子粉 | 嬰兒戴口罩 |
| 嬰兒用益生菌 | 嬰兒用紫草油 | 嬰兒和老人睡 | 羊水穿刺 | 新生兒用肚臍貼 |
| 親嬰兒的嘴和臉 | 宮腔鏡 | 託腹帶 | nt檢查 | 健身架 |
| 盆底肌修復 | 孕婦做核磁共振 |
四代試管
卵巢早衰交流群三代試管
優生優育攻略群高齡生子
絕經助孕攻略群無精/死精
顯微取精交流群冷凍卵子
生育力保存經驗群出國生子
海外試管交流群大家在看